Rabu, 25 November 2020

[Download 24+] 18+ Posterior Cranial Fossa Fracture Signs Pictures cdr

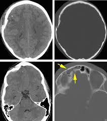
18+ Posterior Cranial Fossa Fracture Signs Pictures. The posterior cranial fossa is the most posterior aspect of the skull base housing the brainstem and cerebellum. Anteriorly it extends to the apex of the petrous temporal.

Head Injury Ppt Download
Head Injury Ppt Download from slideplayer.com
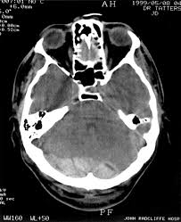
The posterior fossa contains the cerebellum, brainstem and 4th ventricle and is separated from the supratentorial compartment by the tentorium. The body of the sphenoid makes up the. It houses the cerebellum, medulla and pons.

Dr.g bhanu prakash animated medical videos.

The posterior cranial fossa is located behind the superior border of the petrous temporal bone and the dorsum sellae of the sphenoid and is the deepest of all cranial fossae. The posterior cranial fossa is the rearmost hollow or depressed area in the base of the cranium. Anteriorly it extends to the apex of the petrous temporal. The posterior cranial fossa is the most posterior and deep of the three cranial fossae.

Tidak ada komentar:

Posting Komentar